作者godofsex (性愛戰神)
看板HsinTien
標題[新聞] 「萌萌」站起來 新店虎斑白貓因車禍骨折
時間Sun Feb 8 02:10:35 2026
「萌萌」站起來!新店虎斑白貓因車禍骨折 康復後呆萌模樣惹人愛被領養
2026-02-06 17:32 聯合報 記者江婉儀/新北即時報導
新北市動保處日前接獲通報,新店區安祥路有隻虎斑白貓,疑似車禍受傷,臉部充滿血漬
癱臥路旁,動保處隨即派員帶回檢傷醫療,發現虎斑白貓上顎有傷口、右前肢蜷縮無法撐
地,X光檢查下發現右前肢肱骨交錯性骨折,肺部支氣管炎症反應嚴重,所幸經過緊急輸
液、給氧及骨科手術治療後已恢復健康。
動保處獸醫師李建沛表示,根據毛寶貝醫療中心傷病動物案例顯示,貓咪常因為高處不甚
摔落、車禍而造成不同程度的傷害,尤其以顏面受創及肢體骨折居多,若胸腔受創嚴重造
成橫膈破裂,則須緊急進行手術治療才能避免猝死。
李建沛表示,這隻虎斑白貓可能是連日天雨視線不佳遭車輛擦撞,造成前肢肱骨骨折及臉
部上顎受創,所幸臉部傷勢不嚴重,骨折部位經過手術治療後已回復行走及跳躍功能。
陳姓動保員表示,虎斑白貓剛來醫療中心時,雖然行動不便,但只要有人靠近住院籠,貓
咪都會奮力地拖著身體過來討摸,也很努力地吃飯及理毛,模樣非常可愛,也被取名叫「
萌萌」,所幸食慾不錯,都有按時吃飯及吃藥,也順利被新家庭認養。
巫姓飼主表示,聽到萌萌受傷治療及復健的情況後,很心疼牠之前的遭遇,之後照顧上一
定會注意外出安全避免萌萌再次受傷,給牠一個溫暖安全的家。
動保處提醒,民眾若遇到需救援的動物,可撥打「1959」動保專線或動保處24小時通報電
話02-29596353報案,動保處設有毛寶貝醫療中心,能提供妥善收容安置及醫療照護,讓
毛寶貝們在受難時得到幫助。
https://i.mopix.cc/hWLxPa.jpg
小虎斑白貓「萌萌」康復後狀態,呆萌模樣讓人喜愛。圖/新北市動保處提供
https://i.mopix.cc/YjL8lO.jpg
小虎斑白貓「萌萌」康復後狀態,呆萌模樣讓人喜愛。圖/新北市動保處提供
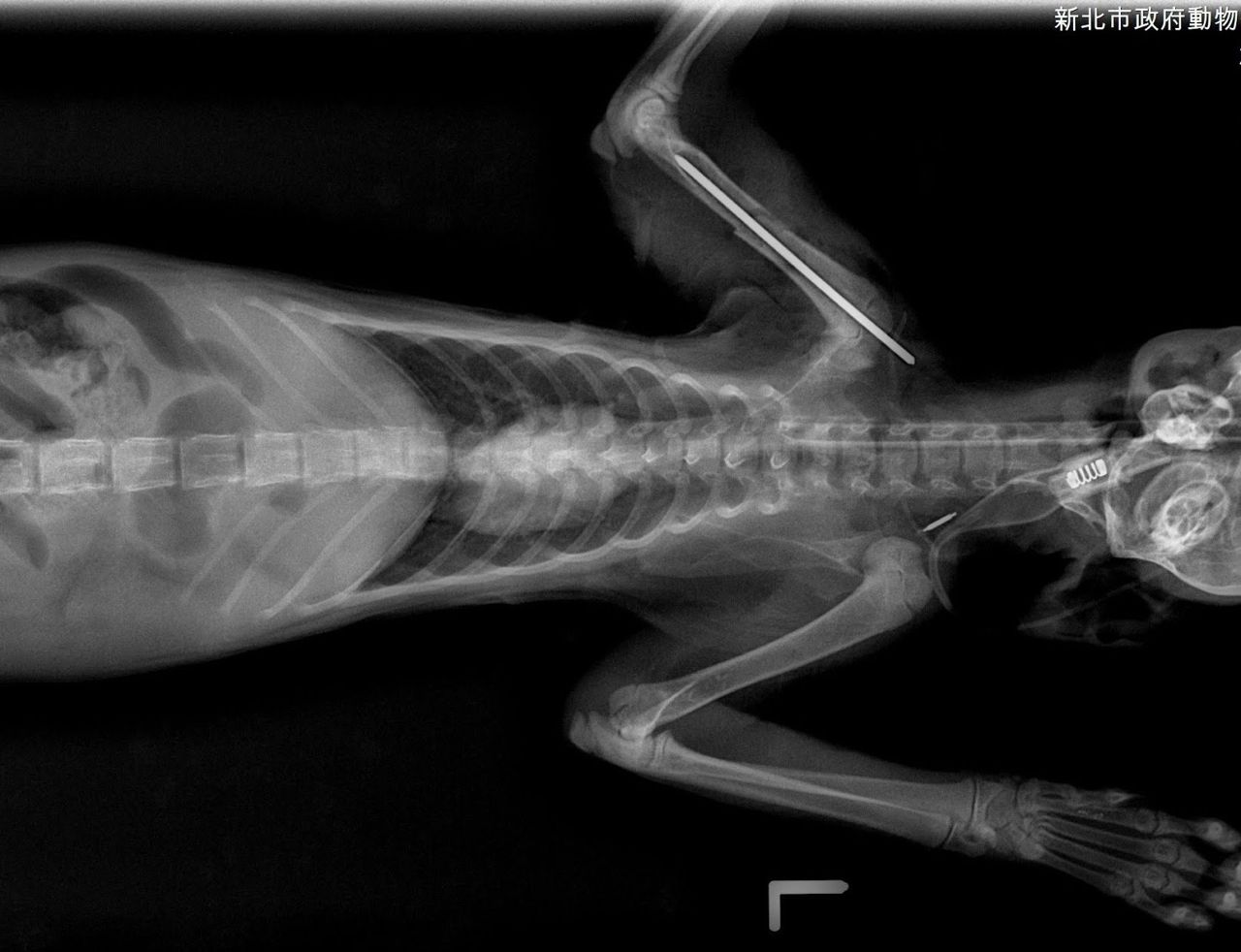
https://i.mopix.cc/Ym0ivR.jpg
動保處獸醫幫虎斑白貓「萌萌」照X光發現右前肢肱骨交錯性骨折。圖/新北市動保處提
供
https://udn.com/news/amp/story/7470/9313923
--
※ 發信站: 批踢踢實業坊(ptt.cc), 來自: 101.12.112.63 (臺灣)
※ 文章網址: https://www.ptt.cc/bbs/HsinTien/M.1770487837.A.FEF.html
噓 marathons : 到處轉貼新聞洗文. 02/08 04:55
推 dear133 : 希望遇到好的鏟屎官 02/08 10:12